Treatment
Endodontics
It is the treatment for the diseased pulp which results in the elimination of infection and protection of the decontaminated tooth from future microbial invasion in the nerve tissue, blood vessels and other cellular entities inside the tooth. For excellent results, we do pre and post digital radiographic evaluation with RVG [Radiovisiography] technology.
‘EASY’ ROOT CANAL
Endo motor Assisted Simple Yesable Root canal treatment ( ‘EASY’ ROOT CANAL ) gives you a new & happy experience with RCT. The use of Endo motor makes it simple & yesable as all functions ( speed, rotation & torque ) of the rotary instrument is well controlled with the digitally calibrated system.Single sitting RCT
Time is precious for you & me. In indicated cases, we do single sitting RCTEndodontic fiber post & core preparation
To ensure more strength & to prevent fracture of the RCT done teeth we use endodontic fiber posts & core buildup.Veneers
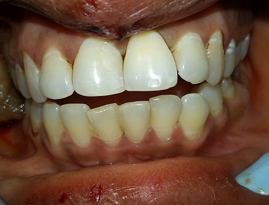
Before
After
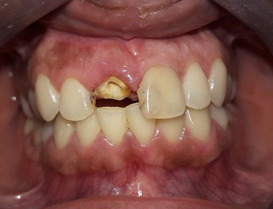
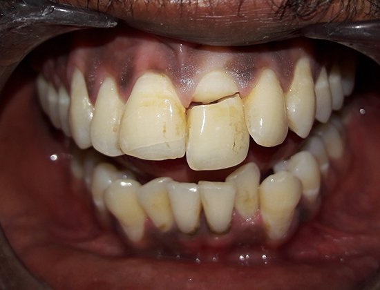
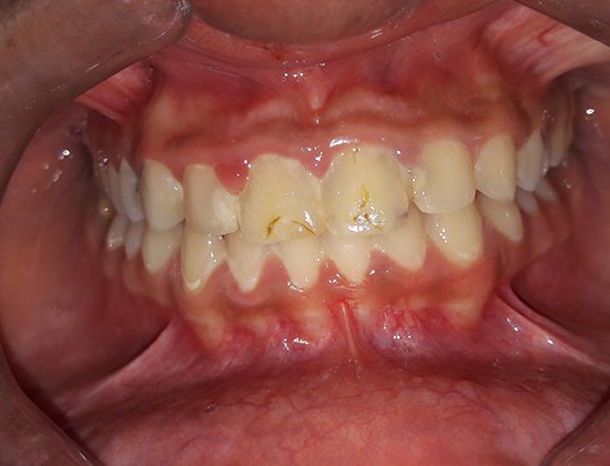
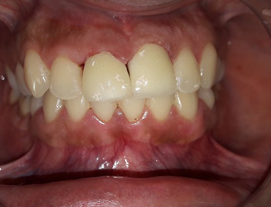
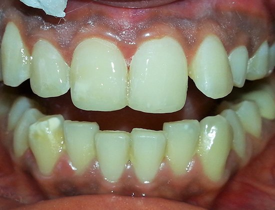
Re attachment
Before
After
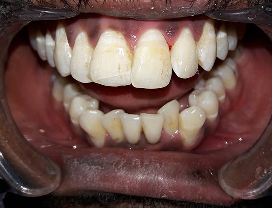
Post and core
Before
After
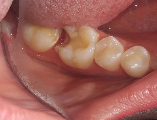
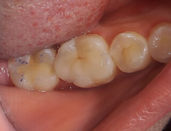
Inlay
Before
After
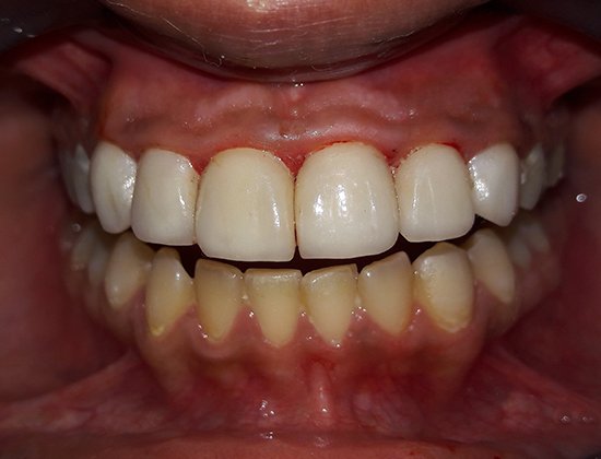
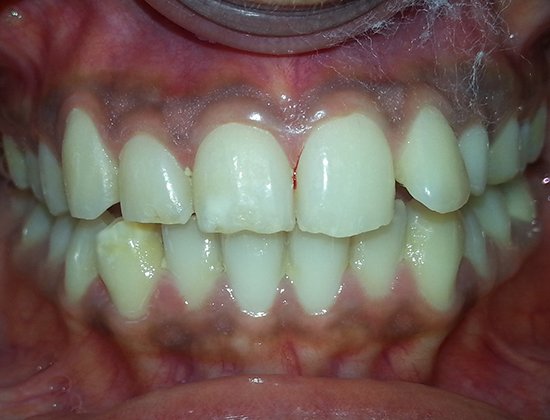
Composite
Before
After
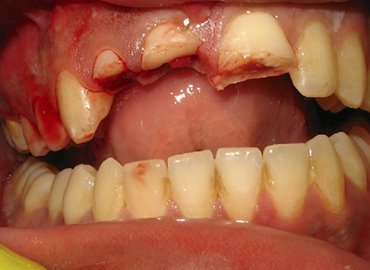
Avulsion
Before
